İstmosel (Sezaryen Skar Defekti)

İstmosel Nedir?
İstmosel, ya da sezaryen skar
defekti, rahim ön duvarında, eski sezaryen dikiş yerinde oluşan
bir poş ya da boşluktur. Önceki sezaryen dikişlerinin doğru ve
tam olarak iyileşmemesinden kaynaklanır. Rahim duvarının tam kat
olarak karşı karşıya glmediği durumlarda duvar kalınlığının
karşı karşıya gelen bir kısmı iyileşeceğinden istmosel olan
yerde rahim duvarı da incelmiştir.
İstmosel Ne Sıklıkla Görülür?
Sezaryen ile doğum
gerçekleştiren kadınların %24-70’inde istmosel görülmektedir.
Sezaryen sayısı arttıkça istmosel oranı ve istmoselin şiddeti
de artmaktadır.
İstmosel Hangi Problemlere Neden Olur?
İstmoselin en sık neden olduğu problem adet bittikten sonra günlerce devam eden lekelenmelerdir. İstmosel poşunda birikmiş olan adet kanı günler boyunca lekenelnem şeklinde gelmeye devam eder.
İstmoselin diğer bir önemi
ise rahim içerisinde biriken adet kanları nedeniyle infertilite
yani kısırlığa neden olabilmesidir.
İstmosel Tanısı Konur?
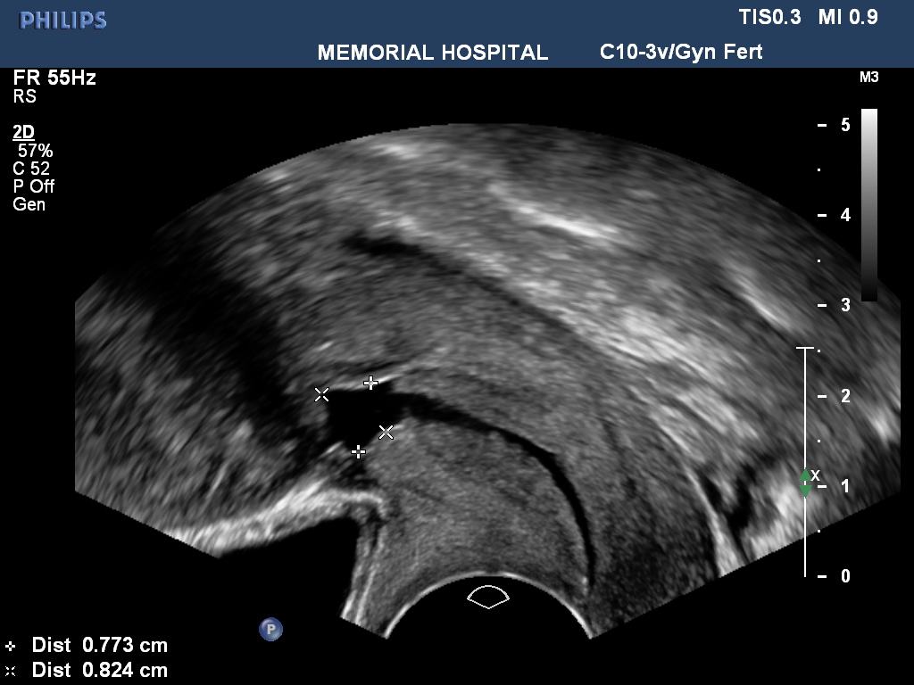
İstmosele bağlı şikayetleri olan hastalarda yapılan görüntileme yöntemleri ile istmosel tanısı kesinleştirilir. Görüntüleme yöntemlerinin başında ultrasonografi vardır. Özellikle transvajinal yolla yapılan ultrasonografide yüksek doğrulukta tanı konabilmektedir.
Diğer bir tanı yöntemi ise Manyetik Rezonans Görüntülemedir (MRG). Özellikle transvajinal ultrasonografinin yetersiz olduğu durumlarda manyetik rezonans görüntüleme ile yüksek doğrulukta tanı konabilir.
İstmosel için diğer bir
tanı yöntemi histeroskopi, yani rahim içerisinin kamera ile
incelenmesidir. Bu yöntemle istmoselin yeri, boyutu ve derinliği
kesin olarak görülebilir.
İstmosel Tedavisi Nasıl Yapılır?
İstmosel tedavisi hastanın şikayetlerine, yaşına, gebelik isteğine, istmoselin büyüklüğüne ve yerleşimine göre değişmektedir.
İstmoselin
kesin tedavisi cerrahidir ve birçok cerrahi yöntem mevcuttur.
Vajinal
Cerrahi: Günümüzde
nadiren başvurulan bu yöntemde istmosel kesesi tamamen
çıkarıldıktan sonra rahim tabakaları tam kat olarak tekrar
kapatılır.
Histeroskopik
cerrahi: İstmosel
kesesininin kenarları histeroskopik olarak traşlanarak oluşan
boşluk düzeltilmektedir. Yeterli sağlam rahim duvarı kalınlığı
bulunan hastalarda uygulanabilir.
Laparoskopik cerrahi: İstmoselin günümüzde en kesin tedavi yöntemi laparoskopik, yani kapalı cerrahi yöntemi ile tedavisidir.
